Visualisasi 3D Citra Kepala MRI: Tampang Axial, Sagital, dan Coronal
Posted by adi pamungkas
Penggunaan citra medis dalam bidang kedokteran terus berkembang pesat, memberikan pemahaman yang lebih mendalam tentang struktur dan kondisi tubuh manusia. Salah satu teknik yang paling berguna dalam visualisasi citra medis adalah visualisasi 3D. Dalam artikel ini, kita akan membahas tentang visualisasi 3D citra kepala MRI, dengan fokus pada tiga sudut pandang utama: tampang axial, sagital, dan coronal.
Citra kepala MRI (Magnetic Resonance Imaging) adalah salah satu metode pencitraan medis yang paling berharga dalam menganalisis struktur otak dan jaringan sekitarnya. Visualisasi 3D memungkinkan kita untuk melihat citra dalam tiga dimensi, membawa informasi tambahan dan pemahaman yang lebih baik terhadap anatomi dan kondisi pasien.
Tampang Axial
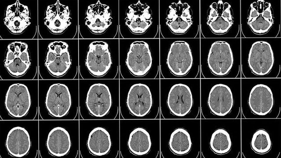
Tampang axial adalah potongan citra yang diambil secara horizontal, sejajar dengan tanah, membentang dari atas ke bawah tubuh pasien. Tampang axial memberikan pandangan detail tentang struktur otak dan jaringan di sepanjang sumbu anteroposterior (dari depan ke belakang). Citra tampang axial sangat berguna dalam mendiagnosis kondisi seperti tumor otak, perdarahan, dan kelainan lainnya yang mungkin terjadi dalam area tersebut.
Tampang Sagital
Tampang sagital adalah potongan citra yang diambil secara vertikal, tegak lurus terhadap tanah, dan membagi tubuh menjadi dua bagian kiri dan kanan. Tampang sagital memberikan pandangan struktur dari sisi, membantu dalam mengidentifikasi masalah seperti perubahan bentuk atau kelainan pada bagian-bagian otak. Visualisasi tampang sagital sering digunakan untuk menganalisis struktur ventrikel, lobus otak, dan berbagai penyakit neurologis.
Tampang Coronal
Tampang coronal adalah potongan citra yang diambil secara vertikal, tegak lurus terhadap tanah, namun membagi tubuh menjadi bagian depan dan belakang. Tampang coronal memberikan informasi tentang struktur otak dalam hubungannya dengan dimensi superior-inferior (atas-bawah). Citra tampang coronal sangat bermanfaat dalam menganalisis sinus, otak tengah, dan hubungan antara struktur otak bagian atas dan bawah.
Keuntungan Visualisasi 3D
- Pemahaman Lebih Mendalam: Visualisasi 3D memungkinkan dokter untuk memahami hubungan antara struktur otak dalam tiga dimensi, mengidentifikasi kelainan yang mungkin sulit dilihat dalam citra 2D.
- Perencanaan Pengobatan: Dalam bedah dan pengobatan, visualisasi 3D membantu dokter merencanakan prosedur dengan lebih baik, mengurangi risiko dan memaksimalkan hasil.
- Pendidikan dan Penelitian: Mahasiswa kedokteran dan peneliti dapat memanfaatkan visualisasi 3D untuk memahami anatomi otak, menjalankan simulasi, dan menganalisis data dalam penelitian.
Langkah-langkah Pemrograman
Berikut adalah langkah-langkah untuk melakukan visualisasi 3D citra kepala MRI dalam MATLAB untuk tampang axial, sagital, dan coronal:
- Memuat Citra MRI: Langkah pertama adalah memuat citra kepala MRI dalam bentuk tumpukan (stack) menggunakan fungsi
dicomreadatauimreadjika citra dalam format yang didukung.
% Memuat citra dalam tumpukan
image_stack = dicomread('head_mri_series');
- Mengatur Sudut Pandang: Anda perlu mengatur sudut pandang untuk tampang axial, sagital, dan coronal. Ini bisa dilakukan dengan memilih indeks tumpukan yang sesuai.
% Mengatur indeks untuk tampang axial
axial_index = size(image_stack, 3) / 2;
% Mengatur indeks untuk tampang sagital
sagittal_index = size(image_stack, 2) / 2;
% Mengatur indeks untuk tampang coronal
coronal_index = size(image_stack, 1) / 2;
- Membuat Visualisasi 3D:
Tampang Axial:
figure;
imshow(squeeze(image_stack(:,:,axial_index)), []);
title('Tampang Axial');
Tampang Sagital:
figure;
imshow(squeeze(image_stack(:,sagittal_index,:)), []);
title('Tampang Sagital');
Tampang Coronal:
figure;
imshow(squeeze(image_stack(coronal_index,:,:)), []);
title('Tampang Coronal');
Visualisasi 3D citra kepala MRI membuka pintu bagi pemahaman lebih dalam tentang struktur dan kondisi otak manusia. Dengan menggunakan sudut pandang tampang axial, sagital, dan coronal, kita dapat menggali informasi yang berharga tentang kondisi pasien dan merencanakan perawatan yang lebih efektif. Teknologi ini terus berkembang, memungkinkan ilmu kedokteran untuk terus maju dan memberikan pelayanan yang lebih baik kepada pasien.
Contoh penerapan visualisasi 3D citra kepala MRI pada tampang axial, sagital, dan coronal ditunjukkan pada video berikut ini:
Posted on August 10, 2023, in Pengolahan Citra and tagged Alat visualisasi medis, Anatomi otak, Citra medis, MRI kepala, Pemodelan 3D, pemrograman matlab, Pemrosesan citra medis, pengolahan citra, pengolahan citra medis, Pengolahan gambar medis, Rekonstruksi citra, Tampang axial, Tampang coronal, Tampang sagital, Teknik pencitraan, Teknologi kedokteran, Toolbox MATLAB, Tumpukan citra, Visualisasi 3D. Bookmark the permalink. Leave a comment.


















































Leave a comment
Comments 0