Segmentasi Citra Kepala MRI Menggunakan Metode Active Contour
Posted by adi pamungkas
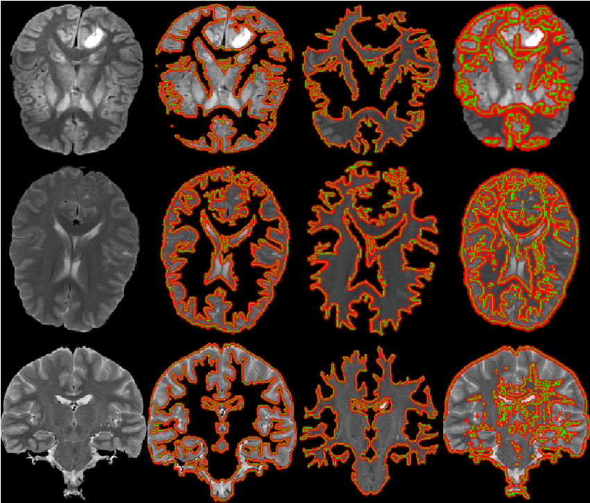
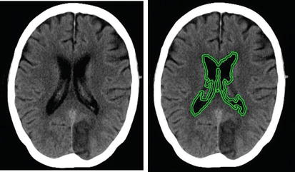
Pengolahan citra medis telah menjadi bidang yang semakin penting dalam dunia kedokteran modern. Salah satu teknik yang digunakan dalam pengolahan citra medis adalah segmentasi, yaitu proses pemisahan objek atau struktur yang ingin diidentifikasi dari latar belakang citra. Dalam kasus citra kepala MRI (Magnetic Resonance Imaging), segmentasi dapat membantu dokter dalam mendiagnosis dan memahami kondisi pasien dengan lebih baik. Salah satu metode yang digunakan dalam segmentasi citra kepala MRI adalah metode Active Contour.
Citra kepala MRI menyediakan informasi rinci tentang struktur otak, jaringan lunak, dan abnormalitas potensial lainnya dalam area kepala. Namun, citra-citra ini sering kali penuh dengan noise dan memiliki kontras yang bervariasi, membuat tugas segmentasi menjadi tantangan yang kompleks. Metode Active Contour, juga dikenal sebagai “Snake” atau “Level Set”, adalah salah satu metode yang membantu mengatasi tantangan ini.
Konsep Metode Active Contour
Metode Active Contour bekerja berdasarkan konsep kurva kontinu yang bisa beradaptasi dengan kontur objek pada citra. Kurva ini dapat bergerak dan meregang untuk mengikuti kontur objek yang ingin di-segmentasi. Pada awalnya, kurva kontur diletakkan dekat dengan objek yang ingin di-segmentasi. Kemudian, kurva ini akan berusaha untuk mengubah bentuknya sehingga cocok dengan batas objek dalam citra. Proses ini dilakukan dengan meminimalkan energi internal dan energi eksternal yang terkait dengan kurva.
Langkah-langkah Metode Active Contour dalam Segmentasi Citra Kepala MRI
- Inisialisasi Kontur Awal: Pada langkah pertama, kontur awal ditempatkan di sekitar area yang ingin di-segmentasi. Kontur ini dapat berbentuk lingkaran atau bentuk lain yang sesuai dengan objek yang ingin di-segmentasi.
- Penghitungan Energi: Energi internal dan eksternal dihitung untuk mengontrol perubahan bentuk kontur. Energi internal mewakili elastisitas dan kehalusan kontur, sementara energi eksternal mewakili daya tarik atau penolakan terhadap kontur pada batas citra.
- Optimisasi Kontur: Kontur akan bergerak secara iteratif untuk mengoptimalkan bentuknya dengan meminimalkan total energi yang terkait. Proses ini dapat dilakukan dengan menggunakan metode numerik seperti metode gradien.
- Konvergensi: Proses optimisasi dilakukan berulang kali hingga kontur mencapai konvergensi, yaitu ketika perubahan bentuk kontur menjadi sangat kecil.
- Hasil Segmentasi: Hasil akhir dari proses ini adalah kurva kontur yang telah menyesuaikan diri dengan batas objek pada citra. Area di dalam kontur dianggap sebagai bagian dari objek yang ingin di-segmentasi.
Kelebihan dan Tantangan Metode Active Contour
Kelebihan utama dari metode Active Contour adalah kemampuannya untuk menangani citra yang kompleks, termasuk citra kepala MRI yang memiliki variasi kontras dan noise. Metode ini juga dapat mengatasi celah dalam batas objek yang di-segmentasi. Namun, metode ini juga memiliki beberapa tantangan, seperti sensitivitas terhadap inisialisasi kontur awal, serta kecenderungan untuk terjebak pada minimum lokal energi.
Langkah-langkah Pemrograman
Berikut adalah langkah-langkah untuk melakukan segmentasi citra kepala MRI menggunakan metode Active Contour dalam MATLAB:
- Memuat Citra MRI: Langkah pertama adalah memuat citra MRI kepala yang ingin Anda segmentasi menggunakan fungsi
imread.
image = imread('head_mri.jpg'); % Ganti dengan path ke citra Anda
- Preprocessing: Pada tahap ini, Anda dapat melakukan preprocessing pada citra jika diperlukan, seperti pemberian kontras atau penghapusan noise.
- Inisialisasi Kontur Awal: Anda perlu menentukan titik-titik awal yang membentuk kurva kontur di sekitar objek yang ingin di-segmentasi.
% Contoh inisialisasi kontur awal (misalnya lingkaran)
center = [x_center, y_center]; % Koordinat pusat lingkaran
radius = r; % Jari-jari lingkaran
theta = linspace(0, 2*pi, 100); % Sudut untuk membentuk lingkaran
initial_contour_x = center(1) + radius * cos(theta);
initial_contour_y = center(2) + radius * sin(theta);
- Penggunaan Fungsi Active Contour: MATLAB memiliki fungsi built-in yang mendukung metode Active Contour. Anda dapat menggunakan fungsi
activecontouruntuk melakukan proses segmentasi.
bw_segmented = activecontour(image, initial_contour_x, initial_contour_y, 'Chan-Vese');
- Menampilkan Hasil: Terakhir, tampilkan hasil segmentasi pada citra asli dan latar belakang menggunakan
imshow.
figure;
imshow(image);
hold on;
plot(initial_contour_x, initial_contour_y, 'r', 'LineWidth', 2);
title('Citra Kepala MRI dengan Kontur Awal');
hold off;
figure;
imshow(bw_segmented);
title('Hasil Segmentasi Citra Kepala MRI Menggunakan Active Contour');
Segmentasi citra kepala MRI menggunakan metode Active Contour adalah teknik yang bermanfaat dalam bidang kedokteran di mana ketelitian dan akurasi sangat penting. Dengan kemampuannya untuk menyesuaikan diri dengan batas objek yang rumit dan beragam, metode ini membantu dokter dalam menganalisis citra kepala MRI dengan lebih baik, mendukung diagnosis yang lebih tepat, dan memfasilitasi perencanaan pengobatan yang lebih efektif. Meskipun memiliki beberapa tantangan, metode Active Contour tetap menjadi pilihan yang kuat dalam pengolahan citra medis.
Contoh penerapan segmentasi citra kepala MRI menggunakan metode active contour dapat dilihat pada video berikut ini:
Posted on August 10, 2023, in Pengolahan Citra and tagged Active Contour, Algoritma segmentasi, analisis citra, Citra medis, Deteksi Objek, Diagnostik medis, Kontur adaptif, Metode Active Contour MATLAB, Metode pemrosesan citra, MRI kepala, Pemrosesan gambar medis, Pengenalan struktur otak, pengolahan citra medis, Pengolahan citra MRI, Pengolahan gambar digital, Segmentasi area kepala, segmentasi citra, Teknik segmentasi, Teknologi kedokteran, Visualisasi citra medis. Bookmark the permalink. Leave a comment.



















































Leave a comment
Comments 0