Konversi Intensitas Piksel Citra dalam Satuan Hounsfield Unit (HU)
Posted by adi pamungkas
Pengolahan citra medis adalah salah satu aplikasi utama dari pemrograman Matlab, dan salah satu aspek penting dalam pengolahan citra medis adalah konversi intensitas piksel citra ke satuan Hounsfield Unit (HU). Dalam artikel ini, kita akan menjelaskan mengapa konversi ini penting dalam citra medis, serta bagaimana kita dapat melakukannya dengan menggunakan bahasa pemrograman Matlab.

Pengenalan Satuan Hounsfield Unit (HU)
Satuan Hounsfield Unit (HU) adalah skala intensitas yang digunakan dalam citra tomografi komputer (CT) dan pemindaian sinar-X. Satuan ini dinamai dari Sir Godfrey Hounsfield, ilmuwan yang pertama kali mengembangkan CT scan pada tahun 1972. Satuan HU digunakan untuk mengukur densitas jaringan dalam tubuh manusia dalam hubungannya dengan air.
Skala HU memiliki titik referensi pada air dan udara. Nilai HU untuk air adalah 0, sedangkan udara biasanya memiliki nilai sekitar -1000 HU. Nilai HU positif biasanya mengindikasikan bahan yang lebih padat daripada air, seperti tulang atau organ dalam, sedangkan nilai negatif mengindikasikan bahan yang kurang padat daripada air, seperti udara dalam paru-paru.
Pentingnya Konversi ke Satuan HU
Mengapa kita perlu melakukan konversi intensitas piksel citra ke satuan HU? Ini penting dalam beberapa aspek dalam dunia kedokteran dan pengolahan citra medis:
- Diagnostik Medis: Diagnostik medis sering menggunakan citra medis, termasuk CT scan, untuk mendeteksi dan mendiagnosis penyakit atau cedera. Nilai HU yang benar-benar akurat adalah kunci untuk menentukan apakah jaringan di dalam tubuh sehat atau mengalami perubahan patologis.
- Segmentasi Jaringan: Dalam pengolahan citra medis, kita sering perlu memisahkan berbagai jenis jaringan seperti tulang, otot, dan lemak. Konversi ke HU memungkinkan kita untuk lebih mudah mengidentifikasi berbagai jenis jaringan ini berdasarkan intensitasnya.
- Perencanaan Terapi: Dalam perencanaan terapi radiasi, intensitas HU diperlukan untuk menghitung dosis radiasi yang optimal untuk mengobati tumor atau penyakit tertentu.
- Penelitian Ilmiah: Dalam penelitian ilmiah, peneliti medis sering memerlukan nilai HU yang tepat untuk mengembangkan algoritma, model, atau metode baru.
Konversi Intensitas Piksel ke HU dengan Matlab
Mari kita lihat bagaimana kita dapat melakukan konversi intensitas piksel citra ke HU menggunakan Matlab. Langkah-langkahnya meliputi:
1. Membaca Citra
Langkah pertama adalah membaca citra medis dalam format yang sesuai. Matlab memiliki berbagai fungsi untuk membaca berbagai format citra seperti DICOM, JPEG, atau PNG.
% Membaca citra medis dalam format DICOM
info = dicominfo('contoh_dicom.dcm');
image = dicomread(info);
2. Mengakses Informasi Hounsfield Unit
Untuk mengkonversi intensitas piksel menjadi HU, kita perlu mengakses informasi dari file citra. Biasanya, informasi ini tersedia dalam tag metadata DICOM.
% Mengakses informasi Hounsfield Unit dari tag metadata DICOM
slope = info.RescaleSlope;
intercept = info.RescaleIntercept;
3. Melakukan Konversi
Selanjutnya, kita dapat menggunakan informasi yang kita peroleh untuk mengkonversi intensitas piksel citra menjadi HU. Konversi ini umumnya dilakukan dengan rumus sederhana:
% Melakukan konversi intensitas piksel ke Hounsfield Unit (HU)
image_HU = double(image) * slope + intercept;
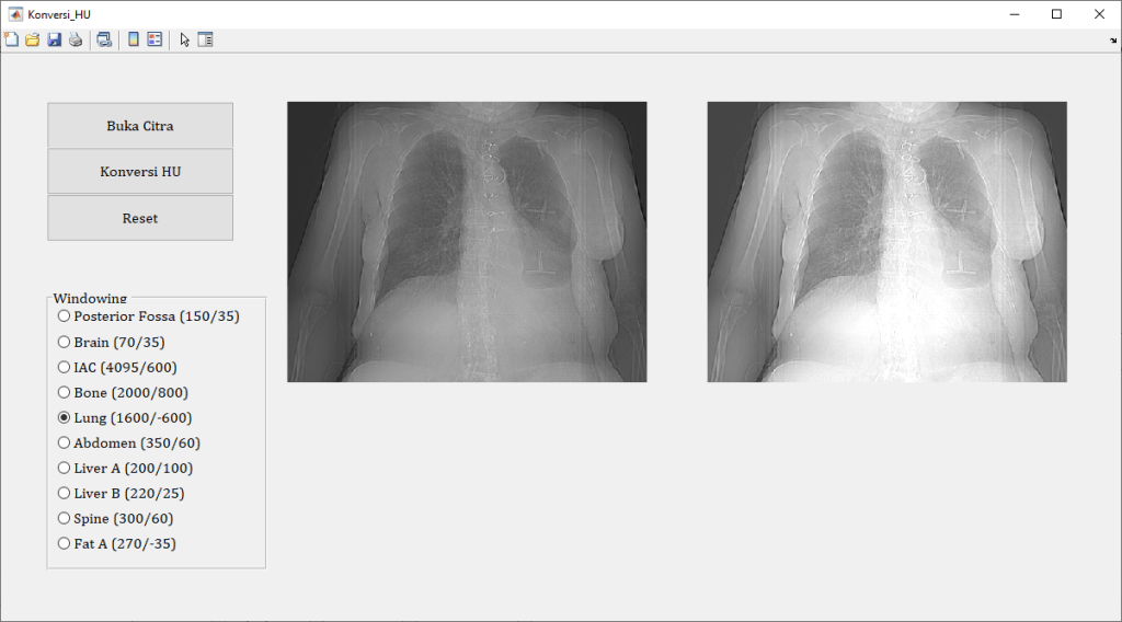
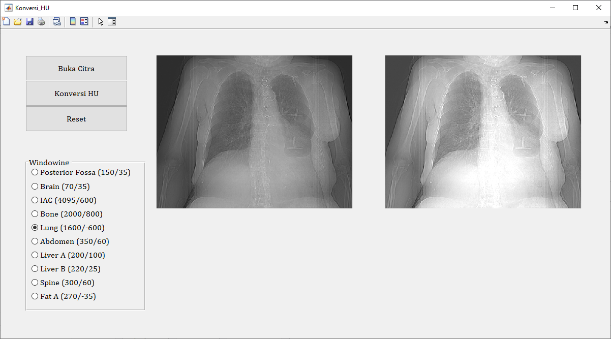
4. Menampilkan Citra HU
Terakhir, kita dapat menampilkan citra HU yang telah dikonversi untuk analisis lebih lanjut atau keperluan diagnostik.
% Menampilkan citra Hounsfield Unit (HU)
imshow(image_HU, []);
title('Citra Hounsfield Unit (HU)');
Konversi intensitas piksel citra medis ke satuan Hounsfield Unit (HU) adalah langkah penting dalam pengolahan citra medis. Hal ini penting untuk diagnosis medis yang akurat, perencanaan terapi, penelitian ilmiah, dan banyak aplikasi lainnya. Dengan menggunakan Matlab, Anda dapat dengan mudah membaca citra medis, mengakses informasi HU, dan melakukan konversi dengan cepat dan akurat. Pengolahan citra medis adalah bidang yang terus berkembang, dan pemahaman tentang konversi ke HU adalah salah satu keterampilan penting dalam pemrograman Matlab untuk aplikasi kedokteran.
Source code beserta data lengkap pemrograman MATLAB di atas dapat diperoleh melalui halaman berikut ini: Source Code
Posted on October 10, 2023, in Pengolahan Citra and tagged Citra medis, Diagnosis Medis, Informasi HU, Konversi Intensitas Piksel, Metadata DICOM, pemrograman matlab, Penelitian Ilmiah, pengolahan citra medis, Perencanaan Terapi Radiasi, Satuan Hounsfield Unit (HU). Bookmark the permalink. Leave a comment.

















































Leave a comment
Comments 0